西安医学院第二附属医院骨外科

近日我院骨外科成功开展胫骨高位截骨(HTO)手术,此术对治疗膝关节退变性骨关节炎具有良好效果,既保留了原有关节,又解除了病痛,为膝关节退变的治疗提供了一种全新的治疗方式。
膝关节疼痛是许多中老年人群的困扰,尤其是内侧疼痛的膝骨关节炎;然而经过减肥、改变运动习惯、口服药物、局部注射等保守治疗一段时间后,疗效不佳,膝关节内侧疼痛依然不能很好的缓解。因患者年龄不大、膝关节病变范围局限,此类患者暂时还没有到需要做关节置换手术的程度,再者,许多患者因受传统
儒家“身体发肤受之父母”的思想,同样也不愿意接受自己“原装”的关节被置换成人工的假体。
“HTO”保膝疗法,新一代手术方法,您的最佳选择。
HTO全称是指胫骨高位截骨(High Tibial Osteotomy,HTO)的英文缩写。简单来说,这是一种保留原有的关节,通过矫正膝关节负重力线、阻止软骨的进一步磨损、增加关节稳定性、缓解疼痛、改善膝关节功能,
从而避免或尽可能的推迟关节置换的一种“保膝”手术。

HTO手术适应范围:
1.中老年膝关节退行性关节炎患者同时伴膝关节内侧疼痛,内翻畸形,
2.胫骨平台骨折内翻畸形愈合。
胫骨高位截骨与膝关节置换治疗膝关节炎相比,具有手术时间短、创伤小、恢复快、术中及术后康复基本无痛,关节原有结构未破坏。通常情况下,行HTO的患者,术后第2天就开始患肢部分负重,4周开始逐渐增加负重,6~8周后可以完全负重锻炼;常规在手术3个月后,患者的日常的劳动和体育运动不受影响。因膝骨关节炎行HTO的患者,术后功能恢复良好,膝关节评分较术前明显提高,患者对术后疗效满意。
HTO“保膝”治疗主要针对临床上两种常见的膝关节疾病———骨关节炎和胫骨平台骨折,通过微创手术,最大限度保护原有膝关节组成,减少术后并发症的发生,实现早期功能锻炼和恢复。
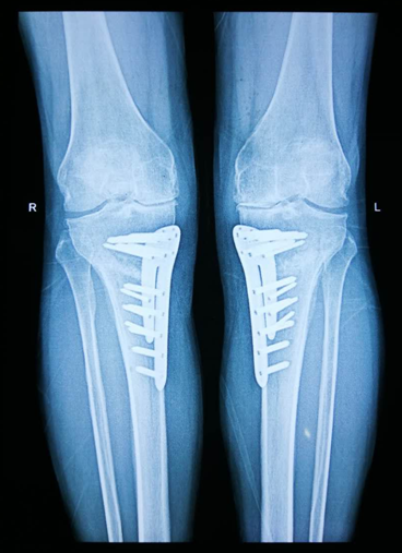
病 例
王XX,女,62岁,双膝关节疼痛,尤其左膝内侧疼痛难耐
此类手术后功能恢复良好,膝关节评分较术前明显提高,患者对术后疗效满意


医院地址:西安市纺织城纺东街167号外科二楼骨外科
联系电话:02983553650(骨外科)
13379287500(康医生)
18392026339(鲍医生)
13488138349(刘医生)
18066633810(张医生)
13227889158(赵医生)
胫骨高位截骨术
通过经过高位截骨,矫正力线,适用于合并严重内翻的膝关节骨性关节炎,可延缓关节炎进展,保留了膝关节的正常活动功能—称之为保膝治疗.随着技术水平的提高,内固定材料的稳定性增强,此术式用于早中期的膝关节关节炎的治疗,延缓内侧关节的破坏,延长膝关节的使用寿命,推后或避免膝关节的置换,进而缓解疼痛,提高患者生活质量。
适应症:
1、膝关节屈伸活动范围>90°
2、骨关节炎在X线片上显示以单髁病变为主,而且与内、外翻畸形相符合。
3、膝关节骨关节炎病人,因膝关节疼痛及功能障碍影响工作和生活,且非手术治疗无效者。
4、外侧软骨和半月板功能正常
5、韧带存在,无关节不稳。


优点:
1、创伤小
2、提供软骨再生修复环境:
3、可完整保留膝关节组织:
4、可早期下床活动: