公众版 员工版 0A系统

精准微创破难题|内镜双镜联合为高危胰腺肿瘤患者点亮生命之光

来源: 消化内科
发布时间:2026-01-20
浏览:

近日,我院消化内科团队攻坚克难,成功为一位高龄高危、合并多系统严重疾病的复杂胰腺癌患者,实施“超声内镜(EUS)引导下胰腺精准穿刺活检+经内镜逆行胰胆管造影(ERCP)引导下胆道支架植入术”一站式微创术。这一创新的“诊断+治疗”同步完成的微创策略,不仅为患者明确了病理诊断,更及时解除了危及生命的梗阻性黄疸,彰显了医院在多学科协作(MDT)框架下,以“专、精、特、新”技术攻克疑难危重疾病的强大实力。

多重危局:高龄高危患者遭遇“癌王”与“黄疸”双重打击

患者为72岁老年男性,因“皮肤巩膜黄染1周”入院。患者基础疾病复杂,长期患有冠心病、持续性房颤、高血压和糖尿病,心功能储备较差。入院检查显示肿瘤标志物CA19-9高达2943 IU/ml,腹部增强磁共振(MRI)检查结果令人揪心:胰头恶性肿瘤性病变伴肝内转移,病灶已导致低位胆道梗阻。

明确诊断是治疗的第一步,但获取胰腺组织病理学证据面临巨大挑战。同时,患者因胆道梗阻,黄疸进行性加重,随时可能引发肝功能衰竭、凝血功能障碍及严重感染,解除梗阻刻不容缓。然而,传统的全身麻醉下外科手术或穿刺活检,对患者脆弱的心肺功能而言风险极高。

MDT决策:量身定制“双镜联合”微创解决方案

面对生命与时间的赛跑,消化内科主任陈建婷迅速启动多学科会诊(MDT)。医学影像科、肝胆外科、麻醉与围术期医学科、心血管内科、病理科专家共同研判,深入评估。专家团队一致认为:患者无法耐受气管插管全身麻醉及常规外科手术,必须采用更加微创、精准且快速的介入方案。经过缜密论证,团队最终制定了当前内镜领域前沿的“一站式”解决方案:在同一次局部麻醉下,先后施行超声内镜(EUS)引导下胰腺细针穿刺活检术(FNB)和经内镜逆行胰胆管造影(ERCP)胆道金属支架植入术。该方案优势显著:第一,EUS穿刺路径短、实时超声监控能精准避开血管,获取高质量组织标本,安全系数高;第二,ERCP能通过自然腔道(消化道)微创解除胆道梗阻,立竿见影地退黄保肝;第三,两者结合,一次操作实现“精准诊断”与“救命治疗”的双重目标,最大限度减少患者痛苦与风险。

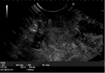
技术实施:毫米级精准操作,一站完成诊断与治疗

在充分的术前准备和家属沟通后,手术如期进行。精准诊断阶段:消化内科温蕾医生首先进行EUS检查。内镜前端的高频超声探头紧贴消化道壁,对胰头部病灶进行了360度无死角扫描,清晰地显示了肿瘤的大小、边界及其与周围血管的毗邻关系。在实时超声的精确引导下,穿刺针犹如“GPS导航”般,毫厘不差地穿越十二指肠壁,直达肿瘤核心,成功获取了足量的条索状组织,为病理诊断奠定了坚实基础。紧急治疗阶段:随后,无缝切换至ERCP操作。蒋承志医生熟练地把十二指肠镜抵达十二指肠乳头,造影清晰显示肝外胆管重度狭窄。导丝顺利通过狭窄段,一枚覆膜金属支架被精准释放于梗阻部位。瞬间,淤积的胆汁得以顺畅流入肠道,梗阻成功解除。整个手术过程流畅,患者无特殊不适。术后病理结合免疫组化,迅速明确诊断为胰腺导管腺癌。随着支架起效,患者黄疸快速消退,肝功能指标显著改善,为后续可能进行的抗肿瘤治疗赢得了宝贵时间和身体条件。

技术革新:EUS+ERCP,微创介入领域的“双子星”

本例手术的成功,是医院消化内镜技术从“诊断型”向“诊断-治疗一体化”纵深发展的重要标志。EUS与ERCP的强强联合,代表了现代消化病介入治疗的新方向: EUS 凭借“透视眼+瞄准镜”,实现消化道腔及周围脏器(如胰腺、胆道、纵隔)的极早期发现和精准介入。 ERCP 作为“腔内手术大师”,专攻胆胰管疾病的微创治疗。 二者结合形成了对胆胰疾病“看得清、穿得准、治得好”的完整微创技术链,大幅拓展高龄高危复杂病例的治疗边界。

砥砺前行:聚焦精准,持续攀登内镜技术新高峰

此次成功救治,充分彰显了我院以患者为中心、勇于突破技术高地的担当精神,以及多学科紧密协作的整合优势。未来,消化内科团队将继续锚定“专、精、特、新”的发展方向,深耕EUS、ERCP及其联合技术等微创介入领域,不断攻克技术难关。团队将致力于构建更完善的“一站式”内镜诊疗平台,让更多病情复杂、以往诊疗方案有限的危重疑难患者,能在创伤最小、恢复最快的微创技术中受益,为守护人民生命健康、推动医院高质量发展贡献更强力量。


咨询电话:029 - 83550817(班内 8:00-12:00 14:00-18:00)15399079450(班后及节假日)

体检预约:83553610  住院患者免费车接电话:83533666

地址:西安市东郊纺织城纺东街167号

微信订阅号
服务号
抖音账号

CopyRight © 西安医学院第二附属医院 版权所有 陕ICP备08003370号